Before And After Smiles

Smile Makeovers in Tallapoosa

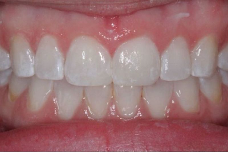
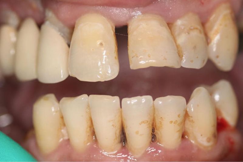
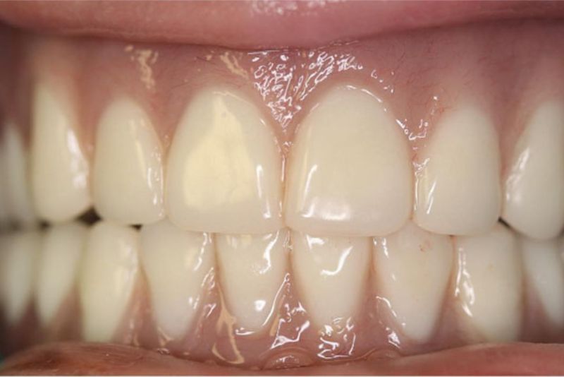
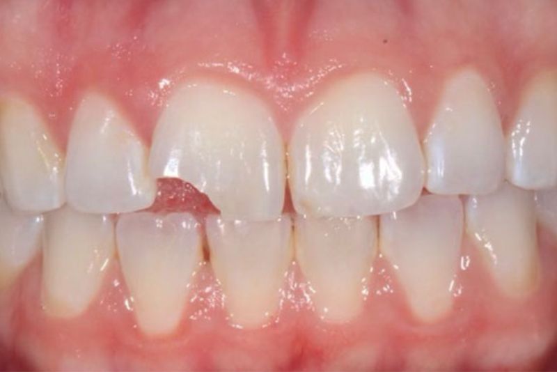
Take a look at some of our before and after photos. Our patients love their new, beautiful smiles and are happy to show them here! Our dentist, Dr. Hunter E. Stinson, D.M.D, uses a variety of techniques and procedures to produce the stunning results seen here!

Before After
Before After
Before After
Before After

Don’t let dental issues hold you back from living your best life. Whether you’re dealing with broken or chipped teeth, staining or discoloration, gaps or misalignment, missing teeth, or old dental work that’s no longer holding up, we offer solutions that can restore your smile and boost your confidence.